Saltar al contenido
DiagnosticArte
:IA
:SERVICIOS DE IA
:ABOUT
:LOGIN
:MENU:
:ACADEMIA
:EVENTOS
:BLOG
:CITA
:NEW
:CHARLAS
DiagnosticArte
Menú de navegación
Menú de navegación
:IA
:SERVICIOS DE IA
:ABOUT
:LOGIN
:MENU:
:ACADEMIA
:EVENTOS
:BLOG
:CITA
:NEW
:CHARLAS
Técnicas de imagen en cáncer
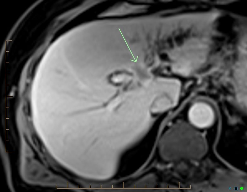
Colangiocarcinoma
23 diciembre, 2024
23 diciembre, 2024